Beaucoup d’adultes souhaitent avoir des dents régulières et bien alignées, sans pour autant devoir sacrifier leur sourire en portant des bagues apparentes. C’est désormais chose possible grâce à l’orthodontie linguale. Si vous souhaitez, pour des raisons thérapeutiques ou esthétiques, bénéficier d’un appareil dentaire discret et confortable, vous pouvez d’ores et déjà chercher le bon orthodontiste lingual à Paris.
En attendant, lisez ces quelques lignes pour tout savoir de cette technique, de plus en plus plébiscitée par les patients.
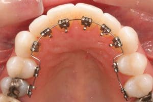
Orthodontie linguale : comment ça marche ?

Cette méthode, si elle a prouvé son efficacité, comporte un inconvénient fâcheux : elle est particulièrement visible. Or, l’appareil vestibulaire, s’il est tout aussi efficace, est lui totalement invisible et ne laisse aucune trace sur la partie visible de la dent.
Pourtant, il fonctionne grosso modo de la même manière : des attaches sont positionnées sur les dents, et reliées à un arc dentaire. Ce fil métallique permet d’orienter les dents afin de les remettre dans le bon sens.
L’orthodontie linguale, comme son équivalent vestibulaire, n’a pas un but uniquement esthétique. Elle peut permettre de résoudre nombre de problèmes, dont beaucoup de patients ignorent souvent qu’ils relèvent même du domaine de l’orthodontie. Ainsi de problèmes de déglutition, de difficultés respiratoires ou d’embarras lors de la mastication.
Connaître les enjeux

C’est pourquoi il est réservé à une patientèle plus mature. En effet, il faut savoir que cette méthode exige une hygiène dentaire encore plus minutieuse que lors d’un traitement vestibulaire. Ce qui n’empêche pas les adolescents d’être de plus en plus nombreux à demander cette méthode. Ce qui n’est pas en soi problématique, à condition qu’ils soient bien au courant des exigences de l’orthodontie linguale.
Pour un brossage parfait vous pouvez consulter ce site.
En revanche, contrairement à une idée reçue, cette méthode n’a qu’un effet minime sur l’élocution. Pour répondre à la demande de professions requérant de pouvoir s’exprimer clairement – professeurs, médecins, avocats – la construction de l’appareil s’est faite de plus en plus délicate, pour ne laisser apparaître qu’une légère gêne au début du traitement.
C’est ce niveau de performance technologique qui justifie le prix élevé de l’appareil, qui se répercute sur les honoraires du praticien. De plus, l’orthodontie linguale nécessite une expertise encore plus importante de la part de l’orthodontiste.
Si l’appareil est fabriqué, numériquement, grâce à des techniciens informatiques, votre praticien devra accompagner la modélisation en évaluant les futurs mouvements de la dentition.
Un prix qui se justifie donc par l’expertise exigée par cette méthode ainsi que le prix de l’appareil. Si la Sécurité Sociale ne rembourse que 193,5€ du traitement, de nombreuses mutuelles peuvent vous aider à franchir le pas.
L’orthodontie linguale représente l’une des innovations les plus importantes du secteur durant ces dernières années. De plus en plus populaire, permet à des adultes qui n’ont pas eu la chance d’être traités petits de corriger leurs problèmes de disposition dentaire en toute discrétion.
Mais c’est aussi une solution pour des adolescents qui sont de plus en plus en plus demandeurs de traitements invisibles. Une bonne carte à jouer pour les parents, d’autant plus que les traitements orthodontiques sont plus efficaces s’ils sont appliqués plus tôt.
